- Главная
- /
- Наши сотрудники
- /
- Бабийчук Ангелина Дмитриевна

Основное образование
- В 2009 году окончила стоматологический факультет Московского государственного медико-стоматологического университета.
- С 2009 по 2010 г обучалась в интернатуре Московского государственного медико-стоматологического университета.
- С 2010 по 2012 г обучалась в клинической ординатуре на кафедре ортодонтии и детского протезирования Московского государственного медико-стоматологического университета.
Дополнительное образование
- Курс «Ранее лечение». Лектор Клаудия Касанова. 2023 г
- Курс «Протокол Тома Питтса». Лектор Хорхе Гутьерреза. 2022 г
- Курс «Эvolution 2.0». Лектор Алексей Ермаков. 2021 г
- Семинар «Вертикальный подход». Лектор Алексей Ермаков. 2021 г
- Курс «МПД как инструмент финишинга» Лектор доктор Зафар Хусанов. 2021 г.
- Семинар «Ранее ортодонтическое лечение: когда и как?» Лектор Marco Rose. 2021 г.
- Курс «Ортодонтия. Ортогнатическая хирургия» Лектор Dr. Raul Ferrando Cascales. 2021 г.
- Модульный курс Dalia Latkauskienė «Элайнеры: от планирования до результата». 2020 г.
- Курс «Работа с КЛКТ в ежедневной практике врача-стоматолога» Лектор Александр Плаксин. 2019 г.
- Курс «КЛКТ и МРТ диагностика» Лектор Dr. Dania Таmimi. 2019 г.
- Курс «Междисциплинарный подход и современный взгляд на применение Скелетной опоры и Кортикотомии» Лектор Dr. Itamar Michael Friedländer. 2019г.
- Курс «Биомеханика в ортодонтии» Лектор Dr.Zafar Husanov. 2019 г.
- Модульный курс профессора Mariano Rocabado «Краниоцервекальные и краниомандибулярные дисфункции. Диагностика и лечение». 2018-2019 г.
- Курс «Classic orthodontics meets modern technology: Treatment of complex cases in adult patients» Лекторы: Dr.Varela, Dr. Llamas, Dr. Asensi. 2013 г.
- Курс «1st International Conference on Orthofacial Surgery and Orthodontics» acknowledge by the European Accreditation Council for Continuing Medical Education (EACCME) Лектор: Dr. Domingo Martin. 2013 г.
- Курс «Principles of perioperative orthodontics and planning of orthognathic surgery». Лекторы: Dr. Dalia Latkauskiene, Dr. Simonas Grybauskas. 2013 г.
- Курс «Incognito Certification Course». 2013 г.
- Курс «Incognito Certification Course». 2013 г.
- Курс «Invisalign: новый взгляд лечение зубоальвеолярных форм II и III класса аномалии окклюзии». 2013 г.
- Курс «Invisalign Certification Course». 2012 г.
- Cleft/Craniofacial Orthodontic Internship at the Mount Sinai Medical Centre, New York. 2011 г.
- Курс «Биомеханика в ортодонтии. Типодонт курс». Руководитель курса Dr. Vittorio Cacciafesta. 2011 г.
- Курс «Основы философии MBT. Особенности ортодонтического лечения с использованием инновационных технологий 3M Unitek». Лектор Музыра К.В. 2011 г.
- Курс «Сегментарная техника в ортодонтии. Типодонт курс». Руководитель курса Prof. Nazan Kucukkeles, DDS, PhD. 2010 г.
Посмотрите на результат


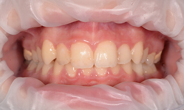
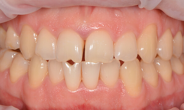
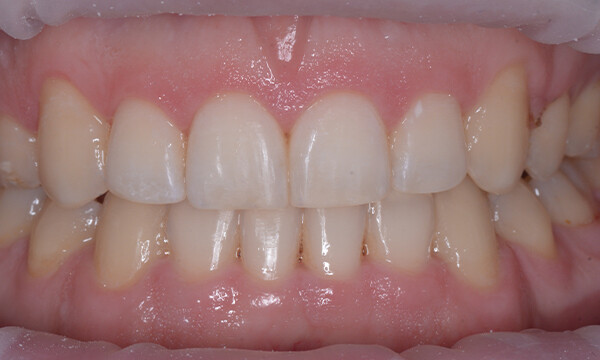
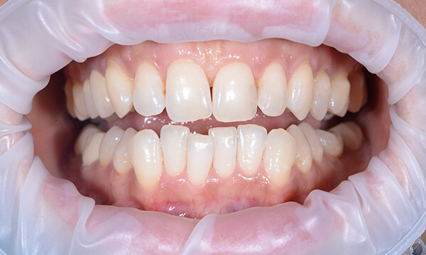
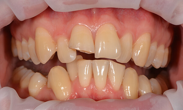
Проблемы
Жалобы на неудовлетворенность эстетикой улыбки
Решение
Выравнивание зубного ряда и исправление прикуса с помощью элайнеров
Срок
Работы проводились в течение 1,5 лет


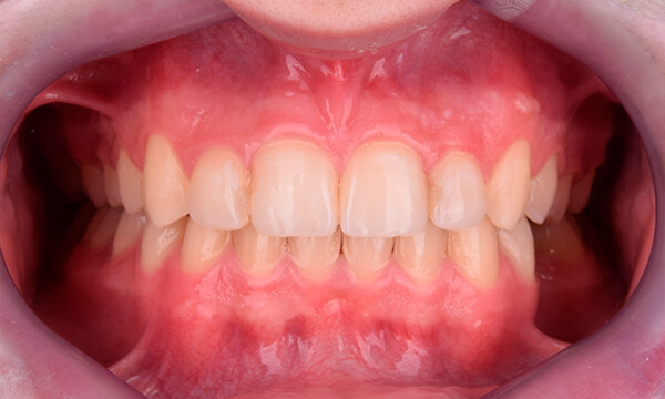
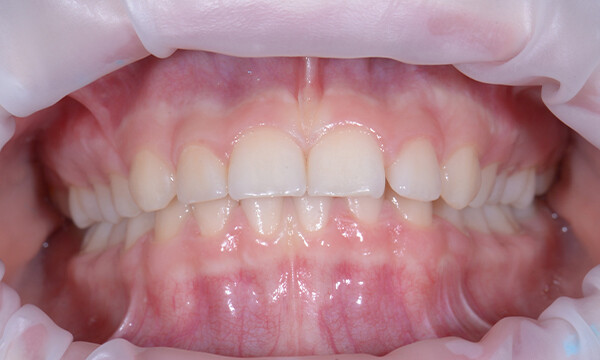
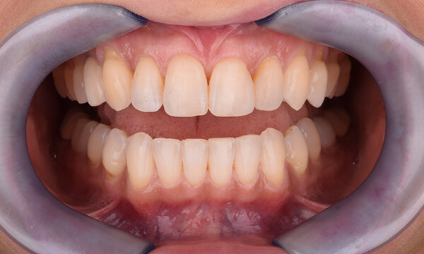
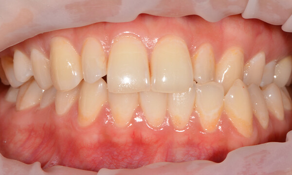
Проблемы
Жалобы на неудовлетворенность эстетикой улыбки
Решение
Выравнивание зубного ряда и исправление прикуса с помощью брекет системы
Срок
Работы проводились в течение 2 лет


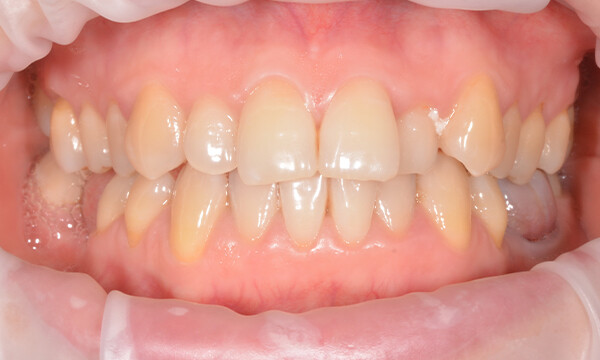
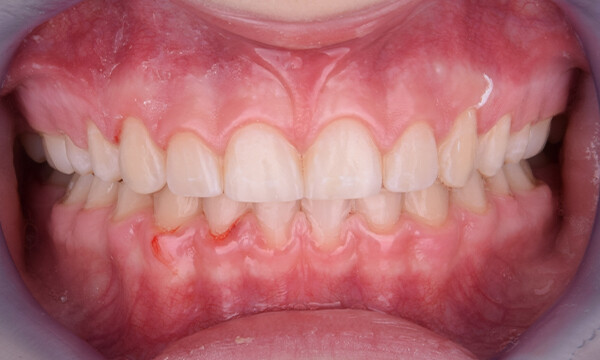
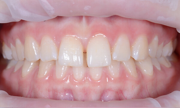
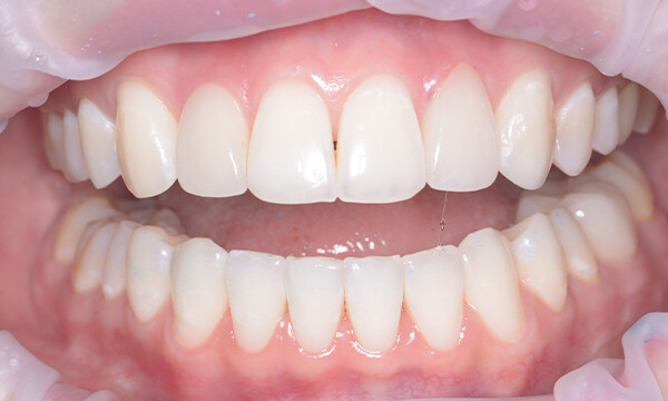
Проблемы
Жалобы на неудовлетворенность эстетикой улыбки, диастема
Решение
Выравнивание зубного ряда и исправление прикуса с помощью элайнеров
Срок
Работы проводились в течение 2 лет


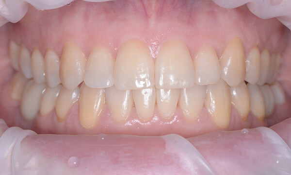
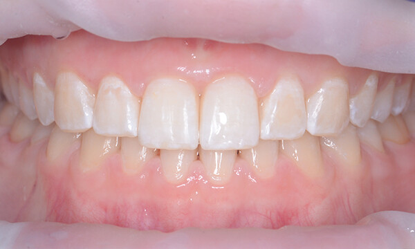
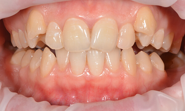
Проблемы
Жалобы на неудовлетворенность эстетикой улыбки
Решение
Выравнивание зубного ряда и исправление прикуса с помощью брекет системы
Срок
Работы проводились в течение 2 лет


Проблемы
Жалобы на скученность нижних зубов
Решение
Выравнивание зубного ряда и исправление прикуса с помощью элайнеров
Срок
Работы проводились в течение 1,5 лет


Проблемы
Жалобы на щель между зубов (диастема)
Решение
Выравнивание зубного ряда с помощью брекет системы
Срок
Работы проводились в течение 2 лет


Проблемы
Жалобы на неудовлетворенность эстетикой улыбки
Решение
Выравнивание зубного ряда и исправление прикуса с помощью брекет системы
Срок
Работы проводились в течение 3 лет


Проблемы
Жалобы на неудовлетворенность эстетикой улыбки
Решение
Выравнивание зубного ряда и исправление прикуса с помощью брекет системы
Срок
Работы проводились в течение 2 лет


Проблемы
Жалобы на неудовлетворенность эстетикой улыбки
Решение
Выравнивание зубного ряда и исправление прикуса с помощью брекет системы
Срок
Работы проводились в течение 2 лет

Людмила Владимировна
Комплексное лечение, тотальное протезирование

Елена Юрьевна
Комплексное лечение, тотальное протезирование

Пациент
Счастливый пациент после окончания ортодонтического лечения

Пациент
Отзыв пациента о комплексном лечении в Денталь

Пациент
Отзыв пациента о комплексном лечении в Денталь
Врач осмотрит Вас и расскажет все возможности и риски. Вы на месте сможете определиться.

Полезная информация для вас
в нашей группе Вконтакте
Запись на консультацию
Оставьте свои контакты, мы свяжемся с Вами в ближайшее время