- Главная
- /
- Наши сотрудники
- /
- Рыжов Виталий Иванович

Главный врач в Красногорске, стоматолог-ортопед, гнатолог
Рыжов Виталий Иванович
Главный врач в Красногорске, стоматолог-ортопед, гнатолог
Рыжов Виталий Иванович
В медицину влюбился еще в школе, выбрал стоматологию как одну из самых технологичных,
быстро развивающихся и многогранных сфер.
В работе всегда придерживаюсь двух принципов:
— Максимально эффективное, качественное лечение с акцентом на долгосрочный результат
— Целесообразность проведения той или иной манипуляции в зависимости от клинической
ситуации и пожеланий пациента
Постоянно повышаю квалификацию, участвую в большом количестве образовательных и научных
мероприятий.

Основное образование
- Окончил Первый Московский Государственный Медицинский Университет в 2018 г.
- Проходил ординатуру в ЦНИИС и ЧЛХ с 2019 по 2021 г.
- В настоящее время – аспирант отделения ортопедической стоматологии и имплантологии ЦНИИС и ЧЛХ
Дополнительное образование
- Dentsply Sirona. Astra Tech Implant System Day. 11/2019 г.
- Simko. «Препарирование зубов для изготовления полных коронок». Дажаев Г. 10/2020 г.
- Международная школа стоматологии д-ра Певзнера. «Функциональное протезирование. Все этапы» Дажаев Г. 11/2020 г.
- Dentslpy Sirona. «Astra Tech Implant System Prosthetic Workflow» Вартанов Т. 03/2021 г.
- Школа съемного протезирования А. Баранова «Съемное протезирование». 03/2021 г.
- Aurum Academy. Практические модули д-ра Д. Компанийца по препарированию зубов для изготовления керамических виниров. Аспекты микропротезирования зубов. 10/2021 г.
- Школа съемного протезирования А. Баранова «Артикуляционная система в ежедневной практике врача-стоматолога и зубного техника» Головин М. 11/2021 г.
- Школа съемного протезирования А. Баранова «Окклюзионная терапия. Лечение дисфункции височно-нижнечелюстного сустава с использованием сплинтов». Головин М., Дьячкова Я., 01/2022 г.
- OHI-S. «Тотальная реабилитация окклюзии». Кочкаров П., Ленько Т. 08/2022 г.
- Stomweb. «Актуальные вопросы в ежедневной практике врача-стоматолога ортопеда». Олексик А., 10/2022 г.
- Aurum Academy. «Концепции All-on-4». Юров Т., Бикбаев А. 01/2023 г.
- Квинтэссенция. «Временное протезирование». Орджоникидзе Г. 04/2023 г.
- Квинтэссенция. «Факторы выбора ортопедических конструкций. Практический курс». Насуев Г. 06/2023 г.
Посмотрите на результат


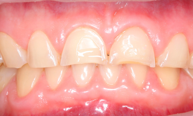
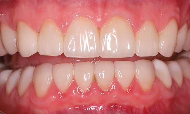
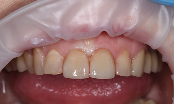
Проблемы
Жалобы на сильную стираемость зубов и неудовлетворенность эстетикой улыбки
Решение
Реставрация керамическими винирами
Срок
Работы проводились в течение 1 месяца


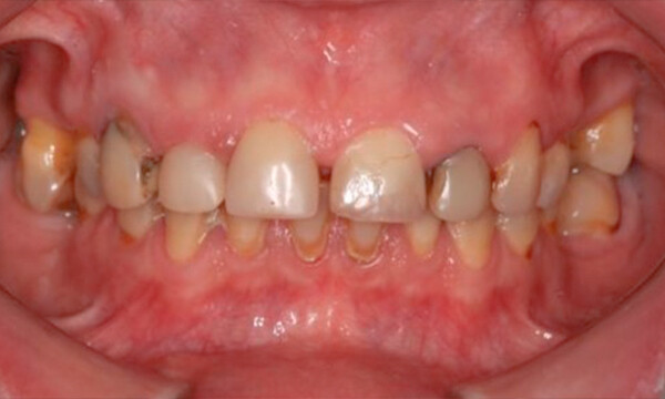
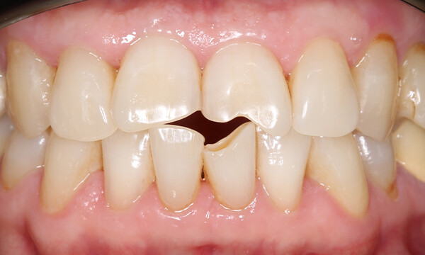
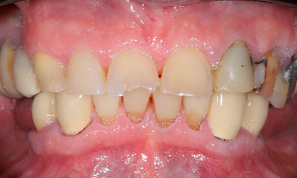
Проблемы
Жалобы на сильное разрушение зубов и неудовлетворенность эстетикой улыбки
Решение
(ортопедическая часть комплексного лечения) Наращение зубов коронками и винирами
Срок
Работы проводились в течение 1 года


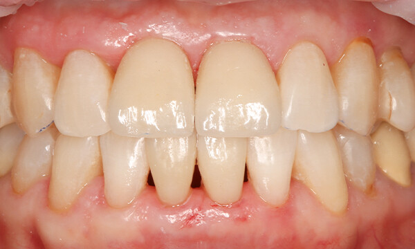
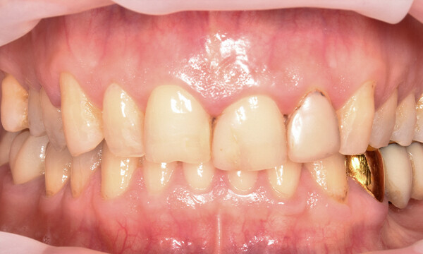
Проблемы
Жалобы на неудовлетворенность эстетикой улыбки
Решение
Реставрация зубов винирами
Срок
Работы проводились в течение 1 месяца


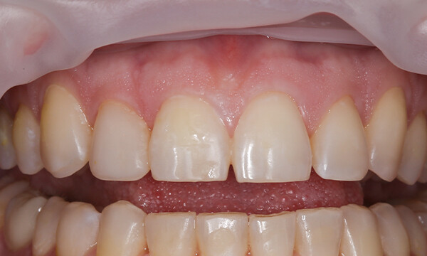
Проблемы
Жалобы на неудовлетворенность эстетикой улыбки
Решение
Реставрация зубов коронками и винирами
Срок
Работы проводились в течение 3 месяцев


Проблемы
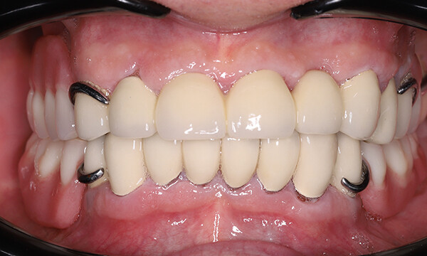
Жалобы на неудовлетворенность эстетикой улыбки, отсутствие зубов
Решение
(ортопедическая часть комплексного лечения) Восстановление зубов коронками и протезами.
Срок
Устранили проблему за 1 год


Проблемы
Разрушенные зубы
Решение
Установка коронок
Срок
Работы проводились в течение 1 месяца


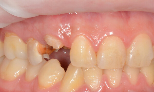
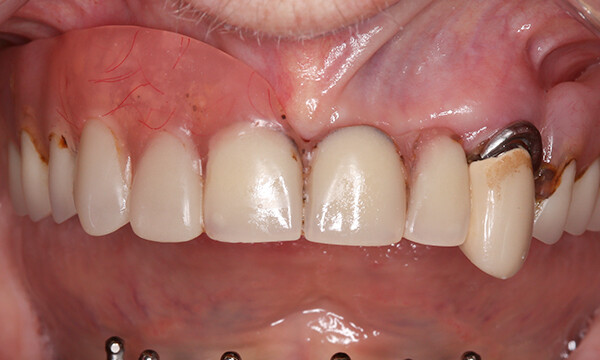
Проблемы
Жалобы на отсутствие зубов и сильное разрушение
Решение
Имплантация All-on-4
Срок
Устранили проблему за 6 месяцев


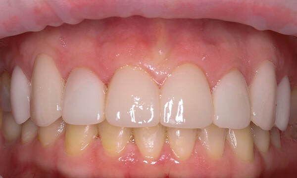
Проблемы
Жалобы на неудовлетворенность эстетикой улыбки
Решение
Реставрация зубов коронками
Срок
Устранили проблему за 1 месяц


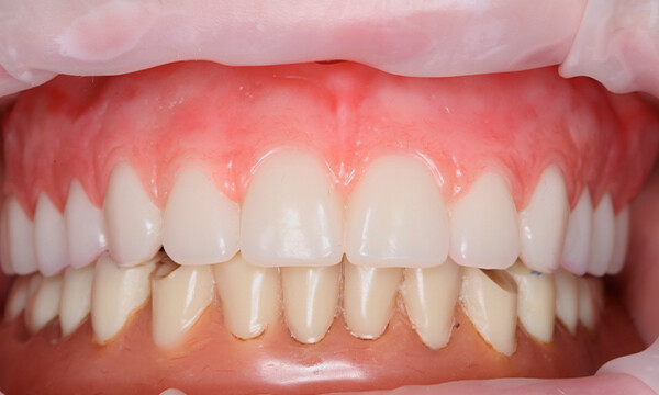
Проблемы
Жалобы на неудовлетворенность эстетикой улыбки
Решение
Реставрация керамическими винирами и коронками
Срок
Работы проводились в течение 1 месяца

Людмила Владимировна
Комплексное лечение, тотальное протезирование

Елена Юрьевна
Комплексное лечение, тотальное протезирование

Пациент
Счастливый пациент после окончания ортодонтического лечения

Пациент
Отзыв пациента о комплексном лечении в Денталь

Пациент
Отзыв пациента о комплексном лечении в Денталь
Врач осмотрит Вас и расскажет все возможности и риски. Вы на месте сможете определиться.

Полезная информация для вас
в нашей группе Вконтакте
Запись на консультацию
Оставьте свои контакты, мы свяжемся с Вами в ближайшее время