- Главная
- /
- Наши сотрудники
- /
- Хан Александр Владиславович

Главный врач в Митино, стоматолог-ортопед, гнатолог, кандидат медицинских наук, член ЕАЭС
Хан Александр Владиславович
Хан Александр Владиславович
Стоматология-дело моей жизни.
Вырос в семье врачей и продолжил семейную династию.
Всегда относился серьезно не только к обучению и практике,
но и к взаимоотношению с моими пациентами.
Вся наша жизнь-это развитие, а в стоматологии, нужно развиваться всегда.

Основное образование
- Окончил с красным дипломом Московский Государственны Медико-стоматологический университет (МГМСУ) в 2005 году.
- С 2006 по 2008 г. обучался в ординатуре на кафедре Госпитальной ортопедической стоматологии МГМСУ.
- С 2008 по 2011 г. обучался в аспирантуре в МГМСУ.
- Защита кандидатской диссертации в 2008 г.
- С 2005 года работал в государственных и частных клиниках г. Москвы врачом-стоматологом-ортопедом.
Дополнительное образование
- AlphaBio. Базовый курс дентальной имплантации. Фридман И. 2012 г.
- Medical Consulting Group. Основные аспекты комплексного ортопедического лечения пациентов. Балабановский Р. 11/2012 г.
- Medical Consulting Group. Основы препарирования зубов под различные виды ортопедических конструкций. Балабановский Р. 07/2012 г.
- Medical Consulting Group. Практическое руководство в ортопедическом лечении. Балабановский Р. 06/2011 г.
- Medical Consulting Group. Клинические аспекты имплантологического лечения в комплексной реабилитации полости рта. Балабановский Р. 11/2011 г.
- Конгресс Квинтэссенции. Эстетические аспекты в стоматологии. 11/2012 г.
- Dentium. Актуальность использования имплантологических систем у пациентов с частичной и полной адентии. 10/2011 г.
- DentalGuru. Базовый курс дентальной имплантации. Хабиев К. 02/2013 г.
- DentalGuru. Продвинутый курс протезирования на имплантатах. Ким Э. 03/2013 г.
- Конгресс BioHorizons. Актуальные проблемы дентальной имплантации. Карл Миш. 12/2012 г.
- II Moscow ICOI Implant Seminar. 04/2012 г.
- Medical Consulting Group. Эффективный руководитель стоматологической клиники. К. Кальдин. 09/2013 г.
- Курс клинической психологии в стоматологической практике. В. Стоев. 10/2013 г.
- Решение окклюзионных проблем с помощью лицевой дуги и артикулятора в ежедневной работе клиники и лаборатории. Amann Girrbach. Петр Нагадовский. 10/2013 г.
- Конгресс Квинтэссенции. Мастера керамики. Эстетика и функция при протезировании зубов. 10/2013 г.
- Курс «Полная изоляция рабочего поля: коффердам, оптидам, раббердам» 04/2014 г.
- Курс «Мастерство протезирования» А. Бабуров 10/2014 г.
- Курс «Препарирование зубов под микроскопом под вкладки, виниры, коронки» С.Максимов 03/2015 г.
- Курс «Междисциплинарное планирование и функциональная окклюзия» Dr. John C. Kois 05/2015 г.
- Курс «Лучевая диагностика в амбулаторной практике врача-стоматолога» Дмитрий Рогацкин 07/2015 г.
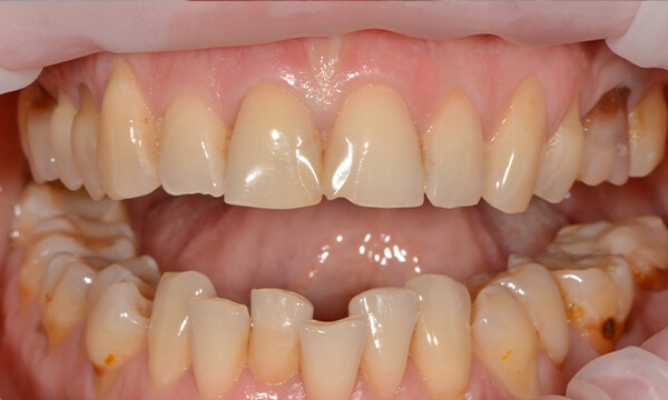
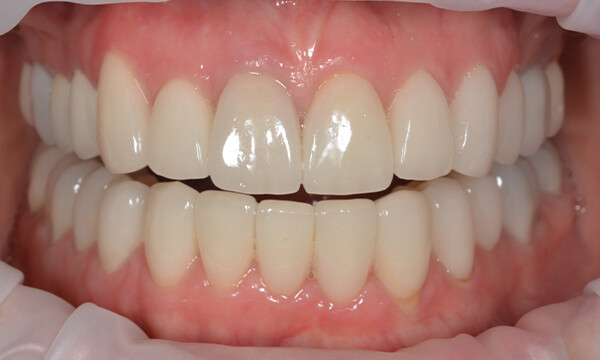
Посмотрите на результат


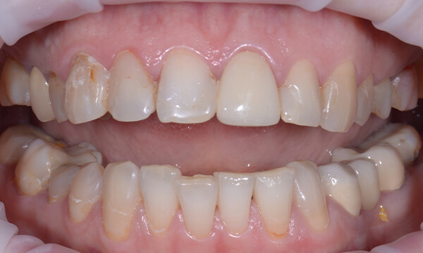
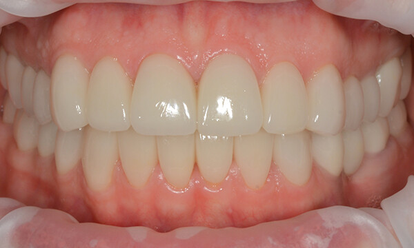
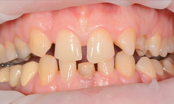
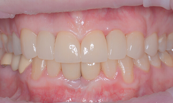
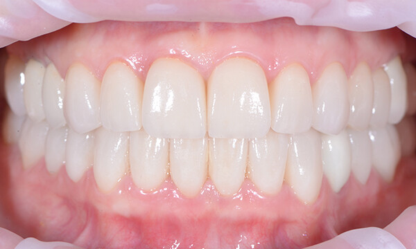
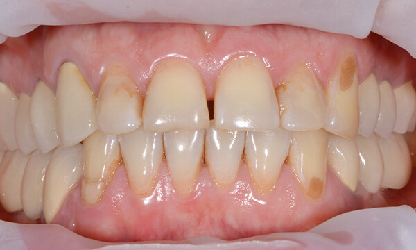
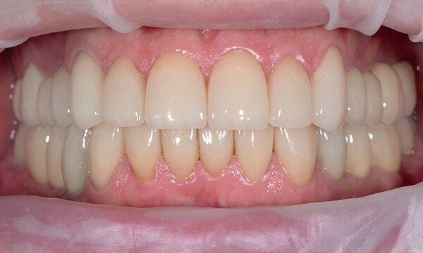
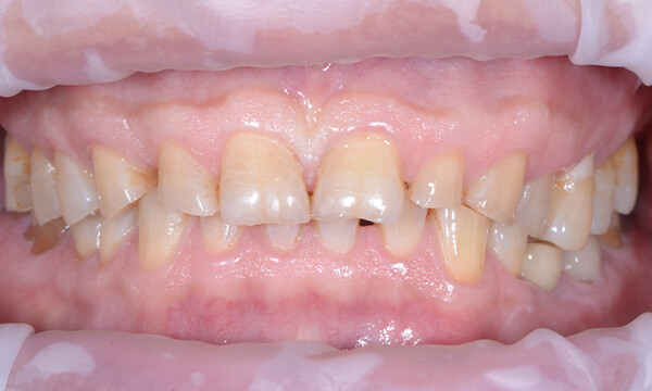
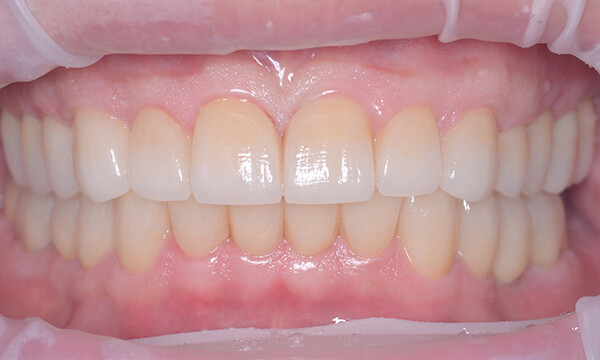
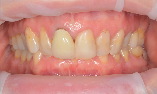
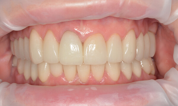
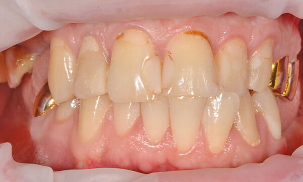
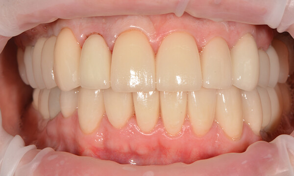
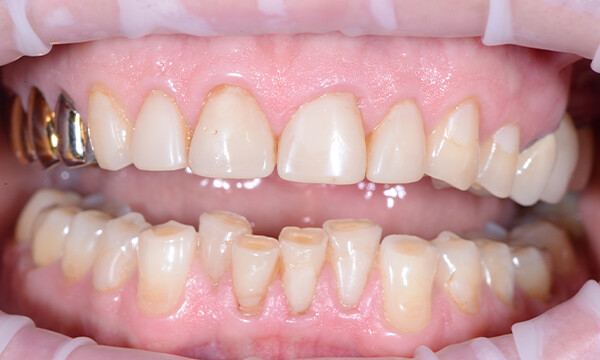
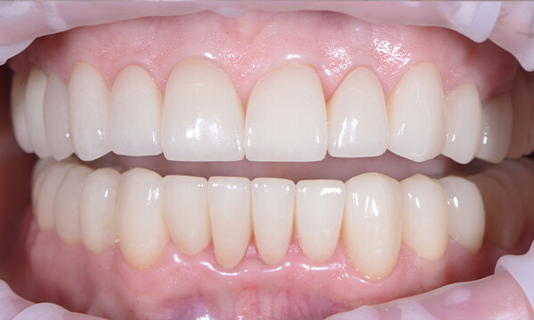
Проблемы
Жалобы на множественный кариес со старыми пломбами
Решение
(ортопедическая часть комплексного лечения) Эстетическое восстановление с помощью виниров и коронок на основе метода цифрового дизайна улыбки
Срок
Устранили проблему за 1 год


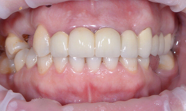
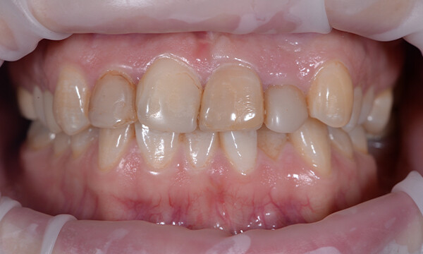
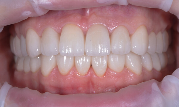
Проблемы
Жалобы на сломанный зуб в результате падения
Решение
Экструзия зуба (вытягивание остатка зуба из десны), нарастили зуб, покрыли коронкой
Срок
Устранили проблему за 3 месяца


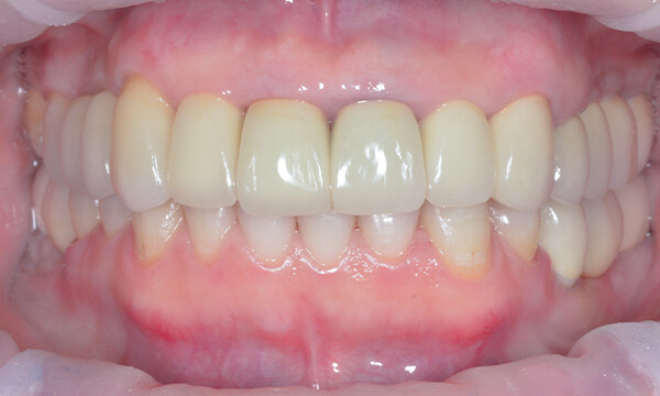
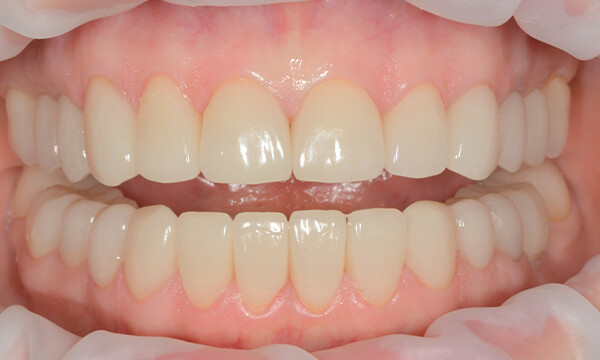
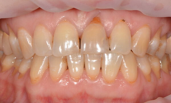
Проблемы
Жалобы на неудовлетворенность эстетикой улыбки
Решение
(ортопедическая часть комплексного лечения) Наращение зубов коронками и винирами.
Срок
Устранили проблему за 3 года


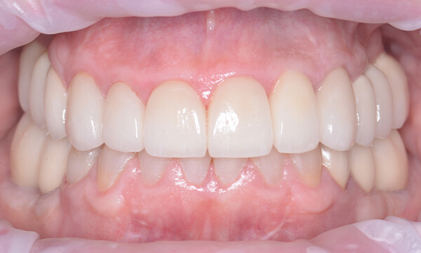
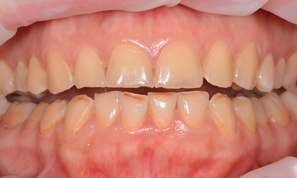
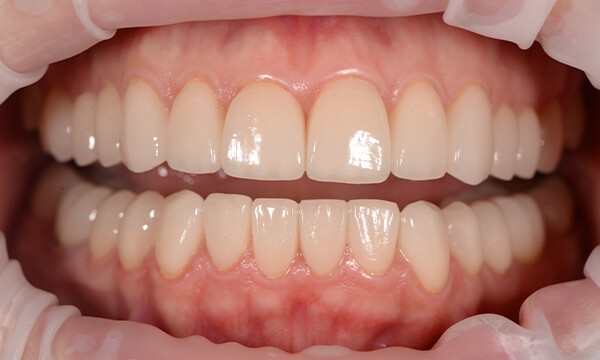
Проблемы
Жалобы на сильную стираемость зубов, более 50%
Решение
(ортопедическая часть комплексного лечения) Лечение височно-нижнечелюстного сустава с помощью сплинт-терапии, наращение зубов коронками и винирами
Срок
Устранили проблему за 8 месяцев


Проблемы
Жалобы на множественные эстетические дефекты, отсутствие зубов, головные боли
Решение
(ортопедическая часть комплексного лечения) Лечение височно-нижнечелюстного сустава с помощью сплинт-терапии, поднятие высоты прикуса коронками и винирами
Срок
Устранили проблему за 1.5 года


Проблемы
Жалобы на множественные эстетические дефекты, сильное крошение зубов
Решение
(ортопедическая часть комплексного лечения) Поднятие высоты прикуса и восстановление зубов коронками и винирами
Срок
Устранили проблему за 2 года


Проблемы
Жалобы на неудовлетворенность эстетикой улыбки, отсутствие зубов
Решение
(ортопедическая часть комплексного лечения) Восстановление зубов коронками и винирами.
Срок
Устранили проблему за 2 года


Проблемы
Жалобы на неудовлетворенность эстетикой улыбки, отсутствие зубов
Решение
(ортопедическая часть комплексного лечения) Восстановление зубов коронками и винирами.
Срок
Устранили проблему за 2 года


Проблемы
Жалобы на неудовлетворенность эстетикой улыбки, старые ортопедические конструкции, отсутствие зубов
Решение
(ортопедическая часть комплексного лечения) Восстановление зубов коронками и винирами.
Срок
Устранили проблему за 2 года


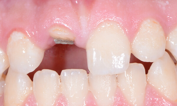
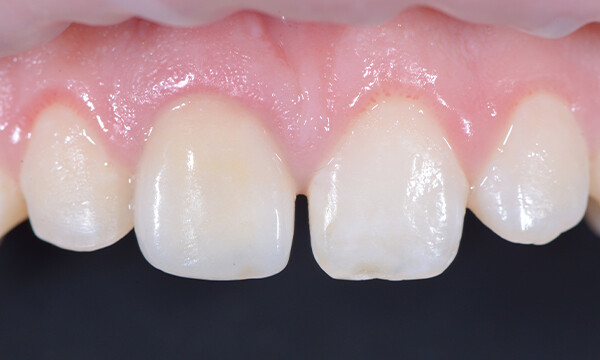
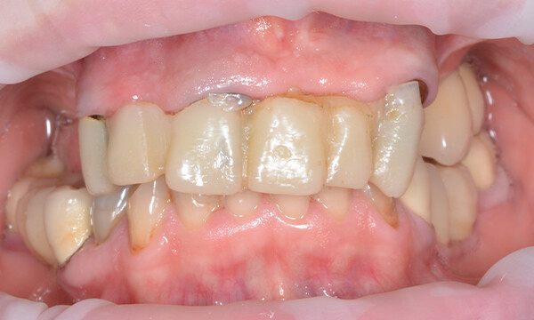
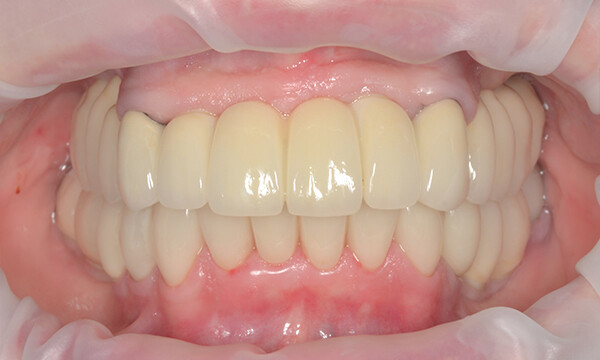
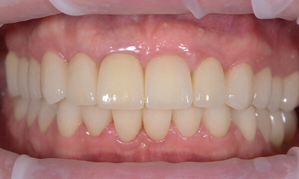
Проблемы
Жалобы на отсутствие зубов
Решение
Имплантация All-on-4
Срок
Устранили проблему за 1 год


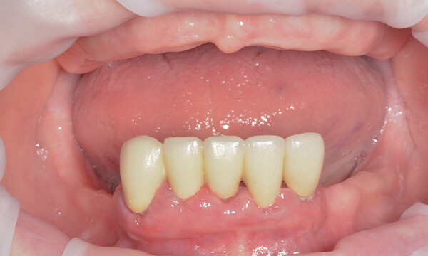
Проблемы
Жалобы на неудовлетворенность эстетикой улыбки
Решение
(ортопедическая часть комплексного лечения) Наращение зубов коронками и винирами.
Срок
Устранили проблему за 2 года


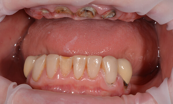
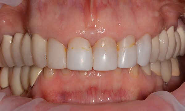
Проблемы
Жалобы на отсутствие зубов
Решение
Имплантация All-on-4
Срок
Устранили проблему за 1 год


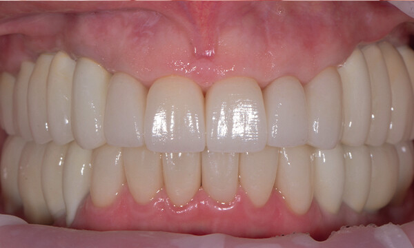
Проблемы
Жалобы на отсутствие зубов
Решение
Имплантация All-on-4
Срок
Устранили проблему за 1 год


Проблемы
Жалобы на неудовлетворенность эстетикой улыбки
Решение
(ортопедическая часть комплексного лечения) Наращение зубов коронками и винирами.
Срок
Устранили проблему за 2 года


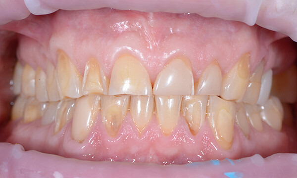
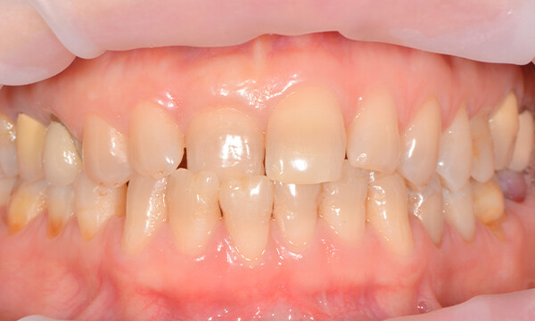
Проблемы
Жалобы на сильную стираемость зубов, более 50%
Решение
(ортопедическая часть комплексного лечения) Наращение зубов коронками и винирами.
Срок
Устранили проблему за 1 год


Проблемы
Жалобы на сильную стираемость зубов, более 50%
Решение
(ортопедическая часть комплексного лечения) Наращение зубов коронками и винирами.
Срок
Устранили проблему за 1 год


Проблемы
Жалобы на сильное разрушение зубов из-за предрасположенности к кариесу
Решение
(ортопедическая часть комплексного лечения) Эстетическое восстановление зубов с помощью виниров и коронок
Срок
Устранили проблему за 2 года


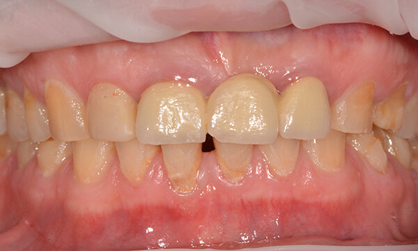
Проблемы
Жалобы на неудовлетворенность эстетикой улыбки, старые ортопедические конструкции
Решение
(ортопедическая часть комплексного лечения) Восстановление зубов коронками и винирами.
Срок
Устранили проблему за 2 года


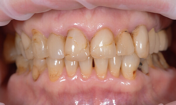
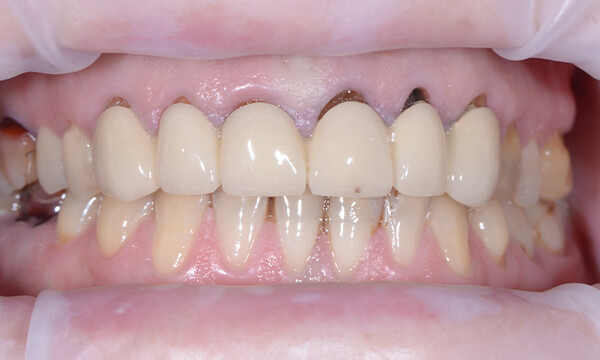
Проблемы
Жалобы на множественные эстетические дефекты, старые ортопедические конструкции
Решение
(ортопедическая часть комплексного лечения) Восстановление зубов коронками и винирами.
Срок
Устранили проблему за 2 года


Проблемы
Жалобы на множественные эстетические дефекты
Решение
(ортопедическая часть комплексного лечения) Восстановление зубов коронками и винирами.
Срок
Устранили проблему за 2 года


Проблемы
Жалобы на сильное разрушение зубов из-за предрасположенности к кариесу и недостаточной гигиены
Решение
(ортопедическая часть комплексного лечения) Восстановление зубов с помощью виниров и коронок
Срок
Устранили проблему за 2 года


Проблемы
Жалобы на неудовлетворенность эстетикой улыбки
Решение
(ортопедическая часть комплексного лечения) Наращение зубов коронками и винирами.
Срок
Устранили проблему за 6 месяцев


Проблемы
Жалобы на множественные эстетические дефекты
Решение
(ортопедическая часть комплексного лечения) Восстановление зубов коронками и винирами
Срок
Устранили проблему за 2 года


Проблемы
Жалобы на неудовлетворенность эстетикой улыбки
Решение
(ортопедическая часть комплексного лечения) Наращение зубов коронками и винирами.
Срок
Устранили проблему за 3 года


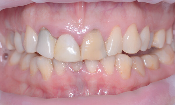
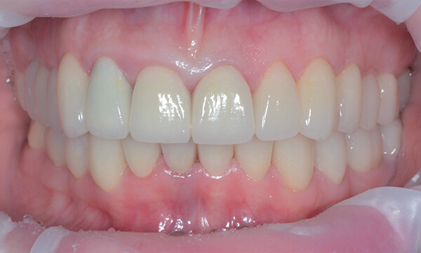
Проблемы
Жалобы на неудовлетворенность эстетикой улыбки, сильную стираемость зубов
Решение
(ортопедическая часть комплексного лечения) Наращение зубов коронками и винирами.
Срок
Устранили проблему за 2 года


Проблемы
Жалобы на неудовлетворенность эстетикой улыбки
Решение
(ортопедическая часть комплексного лечения) Наращение зубов коронками и винирами.
Срок
Устранили проблему за 1 год


Проблемы
Жалобы на неудовлетворенность эстетикой улыбки
Решение
(ортопедическая часть комплексного лечения) Наращение зубов коронками и винирами.
Срок
Устранили проблему за 1 год

Людмила Владимировна
Комплексное лечение, тотальное протезирование

Елена Юрьевна
Комплексное лечение, тотальное протезирование

Пациент
Счастливый пациент после окончания ортодонтического лечения

Пациент
Отзыв пациента о комплексном лечении в Денталь

Пациент
Отзыв пациента о комплексном лечении в Денталь
Врач осмотрит Вас и расскажет все возможности и риски. Вы на месте сможете определиться.

Полезная информация для вас
в нашей группе Вконтакте
Запись на консультацию
Оставьте свои контакты, мы свяжемся с Вами в ближайшее время